About Elbow

“Elbow disorders and injuries can range from minor to severe and affect people of all ages.”

The elbow is a joint that connects the upper arm bone (humerus) to the two bones in the forearm (ulna and radius). It is a hinge joint that allows the arm to move in a flexion and extension motion. The elbow is also responsible for rotating the arm and hand, which allows us to perform various daily activities such as writing, cooking, and playing sports. 

However, the elbow is also prone to various disorders and injuries, which can cause pain, discomfort, and difficulty performing daily activities. In this article, we will discuss three common types of elbow disorders and injuries: fractures and dislocations, osteoarthritis, and soft tissue injuries. 

Fractures and Dislocations 

Fractures and dislocations are common injuries that occur when there is a break or displacement in the bones of the elbow. Fractures can range from simple cracks in the bone to more severe breaks that require surgical intervention. Dislocations occur when the elbow bones are out of place, which can cause pain, swelling, and difficulty moving the arm. 

Symptoms of fractures and dislocations include: 

Pain, swelling, and tenderness at the site of the injury
Difficulty moving the arm or elbow
Bruising or discolouration of the skin around the injury
Deformity or a visible gap in the elbow joint

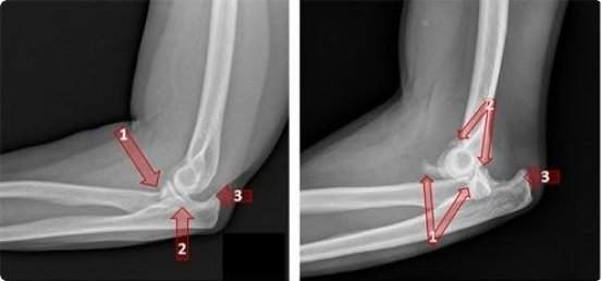
Figure: Xrays of elbow fracture dislocations. #1 shows the break in the radius. #2 shows the break in the ulna. #3 shows the elbow joint completely out of place, or dislocated.

Treatment for fractures and dislocations may involve using a splint or cast to immobilise the joint, as well as physical therapy to help restore movement and strength to the arm. In more severe cases, surgery may be necessary to realign the bones or fix the fracture. 

Osteoarthritis 

Osteoarthritis is a degenerative joint disease that causes the cartilage in the elbow joint to wear down over time. Cartilage is a tough, flexible tissue that cushions the bones and allows them to move smoothly. When the cartilage wears down, the bones may rub against each other, causing pain and stiffness. 

Symptoms of osteoarthritis include:

Pain and stiffness in the elbow, especially after prolonged periods of inactivity
Difficulty straightening or bending the elbow
A crunching or grinding sensation when moving the elbow
Swelling and tenderness around the joint
Treatment for osteoarthritis may involve non-surgical options such as physical therapy, pain medications, and hot/cold therapy. In more severe cases, surgical options such as joint replacement or joint resurfacing may be necessary to restore mobility and reduce pain.

Soft Tissue Injuries

Soft tissue injuries refer to injuries that affect the muscles, tendons, and ligaments around the elbow joint. These injuries can be caused by a sudden impact, such as a fall or a blow to the elbow, or they can occur gradually over time due to overuse or repetitive stress.

Symptoms of soft tissue injuries include:

Pain and tenderness at the site of the injury
Swelling, bruising, or redness around the injury
Difficulty moving the arm or elbow
A popping or snapping sensation when moving the elbow

Elbow disorders and injuries can range from minor to severe and affect people of all ages. It is important to seek medical attention for any elbow pain or injury. Early diagnosis and treatment can help prevent further damage and ensure a quicker recovery and return to normal activities.

It is also important to take preventive measures to reduce the risk of elbow disorders and injuries, such as warming up before participating in physical activities, using proper technique when lifting heavy objects, and taking breaks to rest and stretch during repetitive activities.

Treatment for soft tissue injuries may involve rest, ice, and physical therapy to help reduce inflammation and promote healing. Surgery may be necessary to repair the injury in more severe cases, such as a complete tear of a muscle or tendon.

If you are experiencing elbow pain or have sustained an elbow injury, it is important to consult a medical professional for a proper diagnosis and treatment plan.

The Orthopaedic & Spine department at our hospital can provide the necessary resources and expertise to help you manage your elbow disorder or injury and get you on the road to recovery.